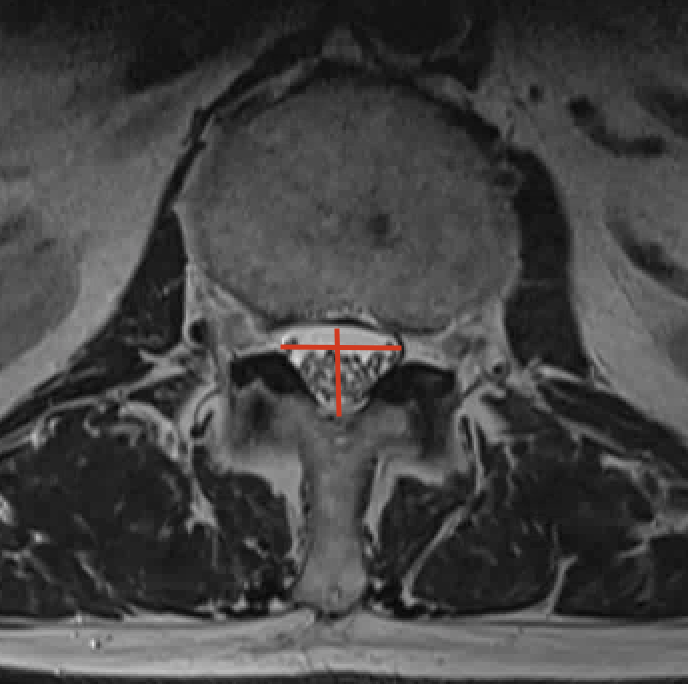
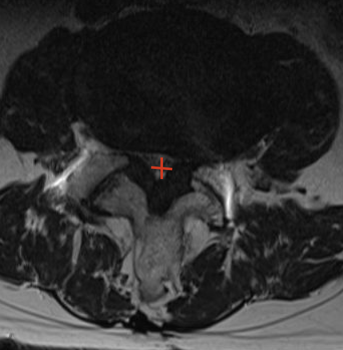
Spinaalkanaalstenose is een vernauwing van het ruggenmergkanaal welke centraal of perifeer kan zijn. Deze vernauwing wordt veroorzaakt door een uitpuiling van de discus naar achter toe, beenderige aanwassen aan de achterzijde van het wervellichaam, verdikking van het ligamentum flavum (ligament dat de ene wervelboog met de andere verbindt) en het groter worden van de facetgewrichten (door artrose: klassieke beeld vernauwing en verbreding van het gewricht). Deze vernauwing veroorzaakt een belangrijke druk op het ruggenmerg (=centrale stenose) en/of zenuwen (=perifere stenose) waardoor belangrijke pijn in 1 of beide benen kan ontstaan.
Dit kan zowel ontstaan in de nek als in de lage rug.

Spinaalkanaalstenose is een verouderingsverschijnsel en zien we dus voornamelijk bij de iets oudere patiënt (65-plusser) . Sporadisch zien we soms ook al een jongere (40-plusser) met deze problematiek.
Spinaalkanaalstenose in de lage rug veroorzaakt pijn ter hoogte van beide onderste ledematen en wordt voornamelijk gekenmerkt door progressief moeilijker stappen. Stappen met een voorovergebogen houding gaat beter en fietsen gaat over het algemeen nog vlot. Tintelingen ter hoogte van de onderste ledematen en voeten zijn frequent aanwezig.
De diagnose wordt het best gesteld door middel van een NMR (=MRI) van de lumbale wervelkolom. Wanneer deze niet mogelijk is door claustrofobie of de aanwezigheid van pacemaker of neurostimulator, is een CT scan van de lage rug een goed alternatief. Bijkomend kan een EMG van de onderste ledematen het zenuwlijden bevestigen. Dit zenuwonderzoek wordt uitgevoerd door een neuroloog of fysisch geneesheer.


De behandeling van spinaalkanaalstenose is in de eerste plaats opnieuw conservatief (= niet operatief). Deze bestaat dan uit pijnstilling en ontstekingsremmers in combinatie met kinesitherapie.
Wanneer er echter duidelijke klachten zijn tijdens het stappen wordt er overgegaan tot behandelingen in de pijnkliniek. De klassieke epidurale infiltratie ter hoogte van de de lage rug wordt niet meer uitgevoerd gezien het beperkte resultaat. Er wordt nu gebruik gemaakt van transforaminale infiltraties, ook wortelblok genoemd. Bij falen hiervan en progressief toenemende klachten gaan we over tot een operatieve ingreep. Deze kan gaan van een eenvoudige hemilaminectomie (=vrijmaken van het ruggenmergkanaal) tot een volledige decompressie en fusie (PLIF of PLIF MySpine MC). De keuze hangt af van de leeftijd van de patiënt en de stabiliteit van de wervelzuil.

Radiologie of medische beeldvorming richt zich op het in beeld brengen en interpreteren van afwijkingen in het lichaam. Vroeger werd er voornamelijk gebruik gemaakt van röntgenstralen. De discipline is de laatste jaren zeer sterk gegroeid en omvat nu naast RX en CT, echografie en MRI.

In een orthopedische context richt het lichamelijk onderzoek zich op het beoordelen van het bewegingsapparaat om de oorzaak van pijn, functieverlies of afwijkingen te achterhalen. Het onderzoek start met inspectie, waarbij de stand, symmetrie, spiermassa en eventuele zwelling of roodheid worden beoordeeld. Vervolgens worden palpatie, bewegingsonderzoek en specifieke testen uitgevoerd om gewrichten, spieren, pezen en ligamenten te evalueren. Bij het bewegingsonderzoek wordt onderscheid gemaakt tussen actief en passief bewegen om te bepalen of de beperking door pijn, spierzwakte of gewrichtsstijfheid wordt veroorzaakt. Tot slot kunnen provocatie- en stabiliteitstesten helpen bij het lokaliseren van letsels of instabiliteit. Het lichamelijk onderzoek vormt samen met de anamnese de basis voor een gerichte orthopedische diagnose en verdere behandeling.
Hemilaminectomie is de behandeling van spinaalkanaalstenose op oudere leeftijd. Het doel van de ingreep is om het ruggenmerg terug voldoende plaats te geven. Spinaalkanaalstenose is immers een slijtagefenomeen waarbij het ruggenmergkanaal progressief wordt afgekneld door uitpuiling van de tussenwervelschijf, beenderige aanwassen ter hoogte van de achterste gewrichten en een verdikking van het ligament tussen de wervelbogen. Dit veroorzaakt pijn ter hoogte van de onderste ledematen en een progressieve achteruitgang van het staan en stappen.
Hemilaminectomie wordt voornamelijk uitgevoerd bij mensen op oudere leeftijd waar de wervelzuil zijn beweeglijkheid reeds voor een groot deel heeft verloren door slijtage (=artrose).
Je wordt onder algemene narcose gebracht.
Tijdens de operatie word je nadat je in slaap bent gebracht geïnstalleerd in buikligging.
Er wordt een insnede van ongeveer 5 cm (1 niveau) gemaakt in de middellijn van je rug . Langs het achterste werveluitsteeksel gaan we naar beneden tot op de wervelboog. Tussen de 2 wervelbogen bevindt zich een ligament welke volledig wordt verwijderd zowel aan linker als rechter zijde. Hierbij wordt ook het onderste gedeelte van de wervelboog weggenomen. Nu bevinden we ons in het ruggenmergkanaal. De beenderige aanwassen ter hoogte van de achterste gewrichten worden verwijderd waardoor er terug een kanaal van ongeveer 1,5 cm ontstaat. De uitgangen van de zenuwen worden gecontroleerd en ook verder vrijgemaakt zo nodig.
De wonde wordt gesloten in verschillende lagen. Voor de huid wordt altijd een onderhuidse hechting gekozen met verteerbare draad.
Hoewel we alles in het werk stellen om de kans op medische verwikkelingen zo klein mogelijk te houden, kunnen bij elke ingreep toch onverwachts neveneffecten optreden en dit zowel tijdens de ingreep als in de herstelperiode. Meestal zijn ze echter zeldzaam en kunnen ze behandeld worden. In dit geval zijn de voornaamste risico’s:
Infectie is een ernstige verwikkeling. Zelfs met al de moderne middelen die ons ter beschikking zijn, is de kans op infectie nooit volledig afwezig. Oppervlakkige infecties (wondproblemen) kunnen eenvoudig verholpen worden. Diepe infecties stellen ernstigere problemen maar kunnen behandeld worden. Er zijn dan wel bijkomende ingrepen nodig. We willen hierbij opmerken dat het normaal is dat uw wonde na deze ingreep langer vocht afgeeft. Dit is geen infectie maar zal wel goed gecontroleerd worden door de verpleegkundige en uw behandelende arts.
In de periode rond de ingreep bestaat er een verhoogde kans op flebitis (klonter vorming in de bloedvaten). De belangrijkste manier om dit te voorkomen is mobiel blijven. Daarom wordt er gevraagd, vanaf het begin, zoveel mogelijk de benen en de voeten te bewegen. Supplementair wordt er medicatie ( Laag moleculair gewicht heparine type Clexane of Fraxiparine) gegeven om de klonter vorming te verminderen. Het dient benadrukt te worden dat deze medicatie de nood tot vroegtijdige mobilisatie niet kan vervangen.
Specifieke complicaties eigen aan rugchirurgie:
Het zenuwherstel kan plotseling en snel zijn na de operatie, maar kan ook heel lang op zich laten wachten en soms zelfs niet helemaal volledig zijn. Soms kan er, bij het zoeken naar de hernia, tijdens de ingreep een prikkeling van de zenuw ontstaan met tijdelijke gevoelsstoornissen of tijdelijke krachtvermindering in een deel van het been als gevolg. Het herstel kan enkele dagen tot meerdere maanden duren.
Tijdens de ingreep kan er soms een lek ontstaan in de ruggenmerg omhulling waardoor het ruggenmerg vocht lekt. Dit wordt gehecht tijdens de ingreep. Na de ingreep moet u 24 uur in bed blijven met benen hoger dan hoofd. Dit kan na de operatie hevige hoofdpijn en misselijkheid veroorzaken wanneer de patiënt gaat rechtzitten. Dit verdwijnt meestal spontaan na een paar dagen en zal slechts in uitzonderlijke omstandigheden een heroperatie met zich meebrengen.
Zoals bij elke operatie kan ook hier een nabloeding optreden. Verschil met andere operaties is echter dat het zich opstapelend bloed in de wonde soms een druk op het ruggenmerg kan creëren waardoor de noodzaak ontstaat de wonde terug te openen. Hierdoor kan je verblijf in het ziekenhuis enkele dagen verlengd worden, doch het verloop van je herstel zal in de meeste gevallen onveranderd blijven. Dergelijke bloeding met druk op het ruggenmerg kan verlamming met zich meebrengen. Meestal is dit tijdelijk en recupereert dit volledig.
Andere ernstige verwikkelingen (schade aan zenuw) zijn eveneens mogelijk en zullen uitvoerig met je behandelend arts worden besproken. De veel voorkomende angst op verlamming en rolstoel zijn echter fel overroepen